耳の中が見える耳かきを使ってみた話【Bebird C3】
このブログはWordpressに移転しました。
引き続き1人で働くのに役立つ情報を発信していきますので、ぜひ、新ブログの更新通知にご登録をお願いします(●´ω`●)
新ブログはこちら↓
こんにちは。めいです。
きょうは、耳の中が見える耳かきを使ってみた話を書こうと思います( ・`ω・´)
目次
大人になってからの耳掃除
子どもの頃は親にしてもらっていた耳掃除。実は、大人になってからちゃんとやったことがありませんでした(-_-;)
綿棒でこしょこしょっとやるぐらいで、耳かきはほとんど使ったことがありません。
だって見えないじゃん(; ・`ω・´)?
「耳垢は自然に排出される」みたいなことを聞いたことがありましたし、見えないもんは見えないからやりようがないと開き直っていました(;´∀`)
結婚してからも同じようなもので、たまに思い出したように綿棒でこちょこちょとする程度でした。
夫はちょっとがさつなので、怖くて耳を任せられず、人にやってもらうということもありませんでした(^_^;)
かといって、耳掃除だけで行くのも嫌だなと思って、耳鼻科にも行ったことはありません(´・ω・`)
耳鼻科のお医者さんの処置って割と痛くて苦手なんですよね(-_-;)
耳の中が見える耳かき
そんな中、これなら自分で耳掃除できるかもと思った商品がありました。
それが、耳の中が見える耳かきです。
先端にカメラが付いていて、それで耳の中をスマホやパソコンの画面に映しながら掃除をするという類のものです。
興味はかなりあったのですが、ぶっちゃけ、品質が信用なりませんでした(; ・`ω・´)
すごいうさんくさい感じしませんか、ああいう商品(-ω-;)
ちゃんと使えるのか(´・ω・`)?という感じでした。
周りに持っている人もいないので、試すなんてこともできず。
気になってECサイトで調べるものの、購入には至りませんでした。
購入の経緯
それがなぜ今回買ってみようと思ったかというと、しゃれにならないサイズの耳垢が発掘されたからです(;´Д`)
写真撮っとけば良かったんですけど、とにかくめちゃくちゃでかかったんですよ(-_-;)
なんかかゆいなと思って指で耳の穴を触ったら引っ張られて出てきました(-ω-;)
たまげました(; ・`ω・´)
一応、テープ起こしでは耳も商売道具なんですよね(´・ω・`)
これは悠長なことは言っていられないと思い、本格的に耳掃除を試みることにしたのです( ;˘ω˘)
Bebird C3
早速購入したのがこちら。Bebird C3という商品です。
値段は4000円ぐらい、300万画素ということで、そこそこ使えるかな?と思ってこれにしました。
アプリをダウンロードし、Wi-Fiで耳かき本体とスマホを接続すると、スマホの画面で耳の中を確認しながら耳掃除ができるという商品です( ・`ω・´)
Wi-Fi接続なのでコードレスで使えるのも便利だと思って選びました(●´ω`●)
フォルムも割と洗練されていていい感じかなと思って決めました(*´ω`*)
本体・付属品
こんな感じの箱に入ってやってきました( ・`ω・´)

本体はこんな感じ。

思ったよりしっかりしたつくりで安心しました(;´∀`)
カメラは耳かきの根本辺りについています。

電源を入れるとライトがつき、中を照らしてくれます(*´ω`*)
付属品は説明書と充電ケーブルと替えの耳かき。
充電ケーブルは短めです。

替えの耳かきはいっぱいついてましたww

セットものだと要らない部品とかもごちゃごちゃ付いてきてげんなりすることが多いのですが、この商品はシンプルなセットで必要最低限という感じで、好感が持てました(●´ω`●)
接続
接続はめちゃくちゃ簡単にできました(*゚∀゚)
説明書に載っているQRコードからアプリをダウンロードして起動→該当機種(今回はC3)を選んだら本体を起動→Wi-Fi設定から「bebird-XXXX」を選択して接続するだけです。
説明書のとおりにやれば迷うことはないと思います(*´ω`*)
接続できたらアプリに戻り、「スタート」を押すとすぐにカメラが起動します( ・`ω・´)
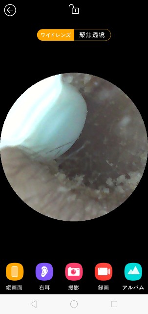
耳の中の様子
※ここから耳垢の画像や動画が出てくるので、苦手な方は飛ばしてくださいm(_ _)m
画像
せっかくなので、Bebird C3で見た私の耳の中の画像と映像をお届けしようと思います。
最初に言っておきますが、めちゃくちゃ汚いので見る人は自己責任で見てくださいね(; ・`ω・´)
それではまずは画像をどうぞ。

きちゃない(´;ω;`)

きちゃないよう(`;ω;´)
耳の穴をふさぎこそしませんが、壁にへばりついてますね(ヽ´ω`)
ていうか私、耳毛やばいな(; ・`ω・´)
Bebirdアプリ上の画面は上記のようにアイコンが並んでいて、画面の向きを変えたり、静止画撮影や動画撮影もできるようになっています。
左から2番目の耳のマークを押すと画面を反転することができるようなのですが、私はうまく使えませんでした(^_^;)
右耳モードで左耳も掃除したほうが見やすかったです(・ω・)
左手で左耳をやる人は左耳モードにしたほうが見やすいのかもしれません。
動画
続いて動画をどうぞ。
自分で掃除するときもこんな感じの映像を見ながら掃除をしていくことになりますので、使った感じを知りたいという方はぜひご覧ください( ・`ω・´)
耳垢取れるの見るのって気持ちいいですよね(*´ω`*)
もうちょっと長く撮ったのですが、比較的よく撮れていた部分だけ切り取ってアップしました(^_^;)
本体にカメラも付いているので、動かすたびにカメラもがたがた動いてしまい、見る人によっては気持ち悪くなっちゃうかなと思って短くしました(;´∀`)
使ってみた感想
思ってたよりよく見えた
初めは性能をめちゃくちゃ疑っていましたが、ちゃんと耳の中が見えました(;´∀`)
疑ってすみませんでしたm(_ _)m
むしろもうちょっと耳垢をためた状態でやりたくなっちゃいましたね(*´ω`*)
人にやってもらったほうがもっと取れるのかなとは思いますが、1人暮らし等でどうしても自分で耳かきをしなければならない人には普通におすすめできる商品でした(・ω・)
見えない状態でやるよりは全然やりやすいしよく取れますね。見えない状態でやって耳を傷つけるよりも安全でいいんじゃないかなと思います(●´ω`●)
耳毛やばくない(; ・`ω・´)?
耳毛の平均的な量なんて知りませんが、それにしても私の耳毛は鬱蒼としていたと思いませんか(; ・`ω・´)?
さすがに耳の中のムダ毛は処理したことありませんでしたよ( ;˘ω˘)
本体の使い心地にはかなり満足したのですが、耳の中が見えたことによって新たな欲求も生じたなという感じです(;´∀`)
こういうのもどうにかしてくれる商品あるのかなと思って探してみたら、まさかのパナソニックから耳毛カッターが発売されていました(;´Д`)
これは耳の中が見える耳かきよりも使うのが怖いですね(-ω-;)
でもあの毛をどうにかできたらもっと耳をきれいにできそうではあるんですよね(´・ω・`)
いまのところ購入には踏み切れませんが、こういう商品があるのだということは把握しておこうと思います( ・`ω・´)
細かいカスを取る道具はないものか
耳の中を見たことでもう一つ気になったのは、毛に絡みついてる細かい耳かすたちです(´・ω・`)
あれが汚っこい感じを倍増している気がするんですよね(; ・`ω・´)
ああいう細かいカスを絡め取ってくれる耳用の液体とかないのか、探してみようと思いました( ˘ω˘)
おわりに
きょうは、耳の中が見える耳かきを使ってみた話を書きました。
私のように、気にはなっていたけど購入に踏み切れずにいた方の参考になれば幸いです(*´ω`*)
誰か1人の方の役にでも立てれば汚い耳の穴をさらしたかいがあるというものです(;´∀`)
Bebird C3は今回私が買ったホワイトの他にも、ピンク、グリーン、ブラックの4色展開となっていて、結構かわいいのでおすすめです(●´ω`●)
Androidでもiphoneでも使えるようですので、気になった方はぜひ検討してみてくださいね(*゚∀゚)
きょうはこれでおしまいです。
また来てくださいね!